Mar
13
¿Quiénes somos? ¡Quién puede saber eso!
por Emilio Silvera ~
Clasificado en Bioquímica ~
Comments (1)
“La evolución humana u hominización es el proceso de evolución biológica de la especie humana desde sus ancestros hasta la actualidad. El estudio de dicho proceso requiere de un análisis interdisciplinario en el que se complementen conocimientos desde ciencias como la genética, la antropología física, la paleontología, …”
Contestar la pregunta que hacemos en el título del trabajo es imposible, no había aquí nadie que pudiera escribir aquella crónica de acontecimientos en la que se pudiera contar la “llegada” del Ser Humano a nuestro planeta que, sería a base de evolucionar durante millones de años partiendo de otras formas más simples. Sólo podemos buscar los indicios (si existen) de lo que pudo pasar para que ahora, estemos aquí.
Esa pregunta que ha estado en la mente de los seres humanos desde que en ellos estuvo presente el pensamiento en aquellas primeras Civilizaciones antiguas que todos tenemos en mente y que dejaron su huella que, de una u otra manera, nos hablan de una evolución mental que, a veces, profundizaba en terrenos situados más allá de lo material. Cuando no se sabía entender los hechos ni se encontraban las respuestas, con frecuencia, se acudió a la mitología y a divinidades que eran portadoras de mágicos poderes y, de esa manera hemos estado caminando hasta llegar a los orígenes de la Ciencia que, comenzó una nueva etapa y en lugar de adjudicar lo inexplicable a los dioses, se empezó a investigar y observar empleando la lógica para acercarnos a lo desconocido, a los misterioso secretos de la naturaleza y, ¡nuestro origen! puede ser calificado del mayor secreto que el Universo esconde.

“Estromatolitos del precámbrico en la Formación Siyeh, Parque Nacional de los Glaciares, Estados Unidos. En 2002, William Schopf de la UCLA publicó un artículo en la revista Nature defendiendo que estas formaciones geológicas de hace 3.500 millones de años son fósiles debidos a cianobacterias1 y, por tanto, serían las señales de las formas de vida más antiguas conocidas.”
“En 1924 comenzó a desarrollar una hipótesis acerca del origen de la vida, que consistía en un desarrollo constante de la evolución química de moléculas de carbono en el caldo primitivo. La hipótesis de Oparin fue retomada por Miller, quien logró crear parcialmente materia orgánica a partir de materia inorgánica.”
En el lugar menos pensado podría haberse formado aquella “sopa” primordial de la que surgió la primera célula replicante que dio lugar a la fascinante aventura de la Vida
Ciertamente, cuando hablamos del origen de la vida, aún hoy en la segunda década del siglo XXI, las opiniones son diversas y siempre nos encontramos con dos grupos que la sitúan en diferentes lugares. En un pequeño libro, no por ello menos importante, del ruso A. Oparín, publicado en Moscú, en su lengua original en 1894 y denominado “El Origen de la vida”, nos habla de ese espinoso y trascendente tema sin necesidad de permanecer anclados en ideas ya desfasadas, entre los irreversibles adelantos científicos y el creacionismo bíblico que está fuera de lugar en nuestra época del Big Bang o primitiva explosión cósmica, la expansión del universo, el conocimiento del átomo y los primeros vuelos espaciales, donde ya no hay lugar para “mitos” y son los hechos los que deben prevalecer.
En la Tierra primitiva bombardeada por meteoritos, ríos de lava y turbulencias sin fin. Poco a poco, el paso de los eones tranquilizaron el ambiente, la superficie se fue enfriando, se formaron los océanos y la atmósfera, llegó el Oxígeno y, los elementos presentes en el planeta, alentados por la luz y el calor del Sol… ¡Hicieron el resto!
Está claro que contestar a las preguntas: ¿Qué es la vida? ¿Cómo llegó hasta aquí? ¿Está sólo en el planeta Tierra? ¿Cómo pudo hacer acto de presencia, eso que llamamos conciencia? No resulta nada fácil y, hasta tal punto es así que hasta el momento, nadie la supo contestar de una manera convincente y se dan respuestas que, más o menos originales y agudas, no dejan de ser conjeturas. La que más me gusta es que la vida, es la materia evolucionada hasta su más alto nivel, dado que, de alguna manera, nosotros mismos estamos hechos de los mismos materiales que todo lo que nos rodea.

Existen dos puntos de vista que nos llevan al origen de la vida: El enfoque materialista y el otro idealista y espiritual, el primero es el que adopta A. Operín.
El otro es el que muestra la doctrina del P. Teilhard de Chardin, ni uno ni otro tiene porqué abandonar los grandes descubrimientos científicos y tecnológicos. Sin embargo y a medida que ha ido transcurriendo el tiempo, ambas posturas se han alejado la una de la otra como consecuencia de que la Ciencia, nos ha ido mostrando los posibles caminos que la vida tomó para hacerse presente y, desde luego, nada tiene que ver con el espíritu que la vida hiciera su aparición en este mundo nuestro y, seguramente, en otros muchos mundos de la Galaxia y de otros mundos dispersos por el Cosmos.

Desde el punto de vista de la Biología, que es el más usado, hace alusión a aquello que distingue a los reinos animal, vegetal, hongos, protistas, arqueas y bacterias del resto de manifestaciones de la Naturaleza. Implica las capacidades de nacer, crecer, reproducirse y morir, y, a lo largo de sucesivas generaciones, evolucionar.
Sin embargo, no parece que todo eso, sea exclusivo de lo que conocemos por vida, ya que, de alguna manera, si nos fijamos en una estrella desde que “nace” hasta que muere”, viene a enseñarnos que sigue el mismo camino que los seres vivos y ella también, nace, muere y se reproduce… a su manera. ¡Es todo tan complicado!
Claro que, cuando hablamos de la vida hay que ser respetuosos con las ideas que cada cual pueda tener al respecto. Será la fe de cada uno quien pueda llevarle a una u otra conclusión, o incluso, dejar esta en el aire con un gran signo de interrogación dentro de un agnosticismo (no ateísmo) latente que está aconsejado por los hechos más relevantes que la Ciencia nos pone delante de los ojos cuando de la vida se trata y lo que de ella, hemos podido llegar a saber.

A estas alturas, ni la propia Iglesia Católica excluye la teoría del mutacionismo moderado o evolucionismo dirigido que no excluye aquella idea de un primer y Supremo Hacedor. Ya en 1950, Pio XII en la Encíclica Humani Generis, recomendaba prudencia y no apasionamiento por una u otra tesis para aquellos que se dedicaban al estudio de tan delicados problemas y que, si no aparecía todo claro, se esperaba siempre a que nuevos descubrimientos iluminaran el remoto pasado de la vida y del Universo.
Si nos centramos en el ser humano, los restos fósiles más antiguos confirman que durante la Era Cuaternaria, la Humanidad poseía fuertes restos morfológicos de las especies animales de las que pudo derivar. También algunos fósiles de simios que se acercaban, cada vez más, en su morfología, a las formas humanas.

Los fósiles de Boxgrove, que datan de hace unos 480.000 años, durante el Pleistoceno medio, son los restos humanos más antiguos descubiertos en el Reino Unido y se identificaron como pertenecientes probablemente a la antigua especie humana Homo heidelbergensis.
Sin embargo aún el más antiguo de los hombres fósiles, hubo de poseer una capacidad cerebral mucho mayor que la de los simios actuales. Por tal motivo incluso los más acérrimos partidarios de la evolución rechazaron pronto que el hombre pudiera descender directamente del mono y se alinearon en dos escuelas fundamentales:

– La de los que afirmaban que el mono y el ser humano tenían un origen común en otro ser que no era ni Homo ni Pan, cuyo rastro se ha perdido por completo, o, al menos, nunca se ha podido encontrar. Las especies de los simios contemporáneos nuestros, “serían una degeneración”, mejor que una evolución de este antecesor común del ser humano y el mono.
– Y la de los que opinaban que el ser humano y el simio se parecen en lo somático, pero manifestaban que su antecesor no era el mismo, sino que el ser humano descendía de un ser distinto del antepasado del mono.

“Una de las especies humanas extintas mejor conocidas es el Homo erectus. Los restos de esta especie que proceden de China, se les dio el popular nombre de “hombre de Pekín”. A pesar que ninguna persona instruida negaría la existencia de estos seres en el pasado, los creacionistas les restan importancia diciendo mentiras sobre ellos.”
No pocos apuestan por el origen cósmico de la vida y echan mano de la panspermia
La publicación creacionista “¿Abuelito?” de CHICK PUBLICATIONS dice respecto al hombre de Pekín: “Supuestamente databa de hace 500.000 años. Pero toda la evidencia ha desaparecido”
Pero, ¿Desapareció realmente toda la evidencia del “hombre de Pekín”? ¿No hay más restos del Homo erectus en Asía?
Los restos del “Hombre de Pekín” se hallaron entre 1921 y 1937, en el periodo entreguerras en un yacimiento a 40 kilómetros al sudoeste de Pekín llamado Zhoukoudian. El hallazgo consistía de una colección de cerca de 40 individuos en Zhoukoudian, entre ellos 5 calvarias (cráneos sin el esqueleto de la cara), numerosos dientes y restos del esqueleto post-craneal.
En 1941, desapareció la colección de fósiles, en plena Segunda Guerra Mundial, mientras era enviada desde Pekín a Estados Unidos.
Sin embargo, la evidencia no desapareció del todo, pues el científico Franz Weidenreich realizó, previó a la desaparición, un estudio con fotografías, radiografías y réplicas de los fósiles. En excavaciones recientes se han encontrado nuevos restos que han encajado con las réplicas hechas por Weidenreich lo cual dice mucho de la honestidad del trabajo de este científico.
Los creacionistas desprecian las dataciones dadas para estos restos fósiles diciendo: “Supuestamente databa de hace 500.000 años”, para confundir al lector. Sin embargo, el yacimiento del Zhoukoudian no ha desaparecido. Sigue allí y los trabajos de estratigrafía que se han realizado muestran que los restos de la cueva abarca un período de 600.000 años, y los restos que quedaron enterrados en los sedimentos de Zhoukoudian tienen una edad entre 550.000 y 300.000 años.
Es cierto que los fósiles originales de la cueva de Zhoukoudian se perdieron en confusos hechos, pero algo que los creacionistas no mencionan es que existen otros yacimientos de Homo erectus en China e Indonesia.”
Tampoco se ha llegado a ninguna conclusión satisfactoria con el hecho que plantea si la aparición del Ser humano tuvo lugar de una sola vez, derivando de una primitivo pareja por multiplicación, toda la Humanidad (versión textual del Génesis) o si fueron más de una pareja procedentes de diversos lugares de la Tierra, ésta última tesis se está imponiendo últimamente con mucha fuerza.
El acuerdo sobre cuál o cuáles fueron la cuna o “cunas” de la Humanidad. Se habla con fuerza del hemisferio austral pero ?dónde? Si el lugar o lugares, época y formas de nacimiento de la primera raza. o razas, humanas continúa siendo -¡y mucho más el de la vida!- y será con toda probabilidad, siempre, un gran misterio para la Ciencia y, cuando llegamos a este callejón sin salida, de alguna manera, sentimos frustración por intuir que nunca, podremos llegar a saber quiénes somos.
En esa Tierra ígnea se fraguó la Vida cuando comenzó a enfriarse y se mezclaron elementos químicos que, ayudados por la radiación, la luz del sol, la atmósfera, los océanos… pudieron formar las primeras “criaturas” vivas que, evolucionaron hacia los pensamientos.
Lo cierto es que tenemos una idea bastante aproximada de cómo pudo surgir la vida aquí en la Tierra pero, tampoco sabemos, a ciencia cierta, si su origen está en la propia Tierra, o, por el contrario, llegó desde fuera de ella. Lo que si sabemos con una claridad meridiana es que, los materiales necesarios para que la vida pudiera surgir, allá donde surgiera por vez primera, se transmutaron en las estrellas que, a partir del elemento más sencillo, el Hidrógeno, fusionó el Carbono, Oxígeno, Nitrógeno y todos los demás de los que estamos hechos los seres vivos que pueblan la Tierra y -al menos para mí- otros muchos planetas del Universo.
Todo de lo que estamos hechos… ¡Se fragua en las estrellas!
En alguna ocasión hemos comentando aquí sobre el origen de la vida en nuestro planeta, la evolución, nuestros orígenes y algunos dones que nos adornan como el del habla y, sin olvidar el crecimiento de nuestro cerebro que ha posibilitado que “naciera” ¡la mente! Sin embargo, no nos hemos parado a pensar en algunos aspectos de la historia que nos llevarían a comprender cabalmente y que esa “historia de la vida” adquiera algún sentido, que la podamos comprender en todo su esplendor. Uno de esos aspectos, quizás el principal, sea la diversidad metabólica de los microorganismos procariotas, un aspecto clave para explorar la historia de “la vida primigenia”.
Convendría que profundizáramos más (y, asombremos) con las numerosas formas de metabolismos que utilizan los procariotas para vivir y que averigüemos donde encajan estos minúsculos organismos del árbol de la via antes de que podamos seguir escuchando las historias que paleontólogos nos puedan contar de sus andanzas a la búsqueda de fósiles que nos hablen de aquella vida en el pasado.
En la actualidad se acepta que los procariotas fueron los precursores de los organismos eucariotas. Sin embargo hay grandes diferencias entre esos dos grupos celulares. Una de esas diferencias reside en la organización génica y en los mecanismos de sintetizar el ARN mensajero. Algún trabajo biológico afirma que los eucariotas podrían proceder de cianobacterias termófilas ya que su organización génica recuerda rudimentariamente a la de los eucariotas.
![]()
Los organismos procariotas (bacterias y arqueas) y eucariotas (protistas, hongos, animales y plantas) comparten una bioquímica común, sin embargo difieren en un elevados número de procesos y de estructuras. A pesar de eso se considera a los procariotas como los precursores de la célula eucariota. A lo largo de los años se han ido recogiendo datos experimentales que avalan esta teoría.
Sabemos que la vida en sí m ismo empezó, quizás hace unos tres mil quinientos millones de años (así lo dicen fósiles encontrados en rocas de esa edad), cuando los flujos de energía, las moléculas y la información se combinaron para formar la primera célula viva. Desconocemos en qué consistió aquella primera fuente de energía, pero hace unos quinientos millones de años las células habían desarrollado ya una maquinaria que podía recoger la luz de la estrella más cercana a nosotros, el Sol, la fuente última de toda energía que existe en la Tierra. La luz se utilizaba para descomponer el agua (H2O), produciendo Oxígeno, que era emitido a la atmósfera, y liberando también protones y electrones que, al combinarse con el dióxido de carbono del aire, se utilizaban para formar las complejas moléculas de la vida. Este sencillo pero poderoso proceso de fotosíntesis hacia posible que la vida surgiera y se propagara rápidamente.
La primera contaminación global y los primeros desastres ecológicos tuvieron lugar hace dos mil millones de años, cuando el Oxígeno, ese residuo tóxico de la fotosíntesis, comenzó a concentrarse en la atmósfera terrestre. El Oxígeno, la sustancia fundamental de la vida animal, es una molécula relativamente inestable y tóxica. De hecho, en en sí misma un tipo de radical libre y puede arrebatar electrones a otras moléculas, descomponiéndolas para formar otros radicales libres aún más tóxicos. Es la razón por la que la mantequilla y otros alimentos se vuelven rancios, el hierro se oxida y algunos anumales mueren en una atmósfera de oxígeno puro.
De la relación del Oxigeno y nosotros podríamos hablar muy extensamente pero, nos salimos del tema que os quería comentar y que, a estas alturas está acabando. Por cierto, es incluso posible que el Oxígeno de nuestra atmósfera fuera un veneno para hipotéticos seres extraterrestres invasores y nos librara de ellos por el simple hecho de que éste, no podría nunca ser su mundo.
Mirando el árbol filogenético de la Vida, nos damos cuenta de su diversidad y complejidad
Es cierto que, con mucha frecuencia, aparecen aquí trabajos que versan sobre la vida, ese misterio que nos lleva a querer buscar sus orígenes y a saber, cómo y para qué surgió aquí en el Planeta Tierra. Nos interesamos por cada uno de pasos evolutivos y nos llama la atención ese larguísimo ciclo que llevó la vida desde aquella célula replicante hasta los seres humanos. Pero, ¿hay algo más interesante que la Vida para poder estudiarlo? Seguramente con la Biología, Física, la Química y la Astrofísica, cada vez sabremos un poco más sobre tan inmenso misterio.
Emilio Silvera Vázquez
Mar
13
¿Pueden llegarnos mensajes del futuro?
por Emilio Silvera ~
Clasificado en Especulando ~
Comments (0)
Investigadores proponen una solución a algunos problemas de la Física Cuántica, como los viajes en el tiempo o la paradoja del abuelo
Las curvas temporales abiertas podrían resolver muchos problemas de la Física – NPJ QUANTUM INFORMATION
Un grupo internacional de investigadores, liderados por la Universidad de Singapur, acaba de demostrar que numerosos problemas de la Física Cuántica, hoy por hoy irresolubles, podrían solucionarse fácilmente con un ordenador cuántico que viajara a través de “curvas temporales abiertas”. El trabajo, que ha levantado gran expectación en la comunidad científica, se publica en la revista Nature Quantum Information.
Hace ya una década que el físico Dave Bacon, que en la actualidad trabaja para Google, demostró que la mejor forma de resolver rápidamente todo un grupo de problemas de la Física (llamados NP-completo) y que traían de cabeza a los matemáticos, era utilizando un ordenador cuántico que se desplazara a través del tiempo. ¿La razón? El hipotético ordenador de Bacon podría moverse con libertad a través de una serie de “curvas cerradas de tiempo”, atajos en el tejido espaciotemporal que se curvan sobre sí mismos. La relatividad general en efecto, permite que dichos caminos puedan existir a través de las contorsiones en el espacio-tiempo que conocemos como agujeros de gusano.
¿Pero para qué enviar un mensaje en el tiempo y bloquearlo después para que nadie pueda leer su contenido? Sencillamente porque el procedimiento podría ser la clave que se necesitaba para resolver problemas que, actualmente, no tienen solución alguna. Y es que incluso un mensaje “sin abrir” puede resultar tremendamente útil, especialmente si los científicos “entrelazan” el mensaje con algún otro sistema antes de enviarlo.
Tendencias 21
Como se sabe, el entrelazamiento cuántico es un efecto extraño que es posible solo en el mundo de la Física subatómica, y consiste en una suerte de “comunicación instantánea” entre partículas que, como si fueran hermanos gemelos diminutos, “saben” al instante lo que le ha sucedido a las demás partículas entrelazadas y reaccionan al instante, sin importar la distancia que las separe. Y lo que proponen los investigadores es precisamente eso, crear un entrelazamiento entre el mensaje enviado a través del tiempo y el sistema del laboratorio. Una correlación que podría alimentar y potenciar la computación cuántica.

Sin embargo, las curvas temporales cerradas conllevan no pocos problemas. En general, los físicos creen que, aunque son teóricamente posibles, algo debe de estar evitando que ese tipo de desplazamientos temporales se produzcan en la Naturaleza. De otra forma, argumentan, podrían darse todo tipo de paradojas, entre ellas la clásica de que alguien podría viajar al pasado y matar a su abuelo, impidiendo así su propia existencia.
Y no solo es la familia la que estaría amenazada por unos viajes así. En efecto, romper el flujo temporal, dejando a un lado el principio de causalidad (un acontecimiento causa otro, que causa otro, y otro…) también puede tener consecuencias para la propia Física cuántica. A lo largo de las dos décadas pasadas los investigadores han mostrado hasta la saciedad que los principios mismos sobre los que se basa la Física Cuántica se quiebran en pedazos ante la presencia de curvas temporales cerradas. Por ejemplo, se puede quebrar el principio de incertidumbre, que establece la imposibilidad de conocer al mismo tiempo determinados pares de magnitudes físicas de una partícula (como la velocidad y el momento). O incluso dejar a un lado el Teorema de no Clonación, que dice que los estados cuánticos no se pueden copiar y que constituye uno de los pilares más sólidos de la Mecánica Cuántica.
Evitar las paradojas

Sin embargo, el nuevo trabajo muestra que un ordenador cuántico sería capaz de resolver problemas hasta ahora irresolubles si en vez de por curvas cerradas, se desplazara a través de “curvas temporales abiertas”, que no crean los problemas de causalidad anteriormente descritos. Esto se debe a que dichas curvas no permiten la interacción directa con cualquier cosa en el propio pasado del objeto: las partículas viajeras del tiempo (o, para ser más exactos, los datos que contienen) nunca interaccionarían con sí mismas.
Pra Mila Gu, de la Universidad de Singapur y director de la investigación, de esta forma “evitamos las paradojas clásicas, como la de los abuelos, aunque seguimos consiguiendo todos esos resultados extraños”.
“Cada vez que presentamos la idea -afirma por su parte Jayne Thompson, coautor de la investigación- todo el mundo dice que no hay forma de que esto pueda tener un efecto”. Pero sí que la hay. Las partículas enviadas de esta forma a través de un bucle temporal pueden, de hecho, ganar un enorme poder de “super computación”, incluso si jamás interactúan con nada del pasado. “La razón se debe a que algunos datos se almacenan en las correlaciones de entrelazado: y esto es precisamente lo que estamos aprovechando”, asegura Thompson.
Más fácil sería que la pitonisa acertara el Futuro a que nos llegará un mensaje de un lugar que no existe
Sin embargo, no todos los físicos piensan que estas líneas de tiempo abiertas tengan más posibilidades de manifestarse en el Universo físico que las líneas cerradas. Y pueden que tengan razón. Uno de los principales argumentos en contra de la existencia de curvas temporales cerradas es que nadie, que sepamos, nos ha visitado nunca desde el futuro. Un argumento que, por lo menos, no es válido con las curvas temporales abiertas, ya que en ellas cualquier mensaje procedente del futuro resultaría bloqueado.
¡Qué imaginación tenemos los humanos!
Emilio Silvera Vázquez
Mar
13
El Paso del Tiempo ¿Cómo podríamos pararlo?
por Emilio Silvera ~
Clasificado en General ~
Comments (0)
https://www.youtube.com/shorts/XHHLUD7isf0?feature=share
Ese Principio del Universo: Todo tiene un comienzo y un final, no importa si es inerte o tiene vida, el paso del _Tiempo lo cambia todo, y, más tarde o más temprano… ¡Todo muere! Nos convertimos en algo distinto a lo que fuimos. Miramos a las estrellas y sabemos como “nacen”, “viven, y “mueren”, su Tiempo aquí está dete5rminado por la misión que debe cumplir. Todo llega con un tiempo pre-determinado:
Una mosca vive unos 30 días
Una tortuga galápago 150 años
La vida de un elefante llega hasta los 70 años
![]()
Las estrellas miles de millones de años, cuanto mayor son y más masa tienen menos tiempo de vida

El Neutrón vive al menos de 15 minutos 879.6 +/-0.8 s.
La vida media de un protón es de 3,6 x 1029 años

Claro que, si t arrimas a la fuente de la juventud… Pudieras frenarlo o te muere de un telele.
La esperanza de vida al nacimiento de los hombres en España ha pasado de 76,4 a 80,4 años y la de las mujeres de 83,1 a 85,7 años.

Finalmente para rematar lo que es el paso del tiempo, tenemos que recordar lo que decía aquel pensador: “… Con el paso de los Eones, hasta la muerte morirá.”
E.S.V.
Mar
12
¡Estamos aquí de prestado? ¿Es la vida un accidente?
por Emilio Silvera ~
Clasificado en Catástrofes Naturales ~
Comments (1)

Algunas veces, cuando a solas pienso más profundamente en nuestra presencia en el mundo que habitamos, en el recorrido que ha hecho nuestra especie hasta llegar hasta aquí, en la inmensa lucha contra los elementos y las circunstancias adversas que hemos tenido que superar, sobre todo, esa enorme carga que llevamos sobre nosotros: ¡la ignorancia!, que no pocas veces nos lleva a comportamientos irracionales y contrarios a nuestros propios intereses. ¡Tántas esperanzas y sueños! Cuando, en realidad, no somos dueño de nuestro destino como especie que siempre ha estado en poder de la Naturaleza que nos creó. Las estrellas brillan en el cielo, ajenas a nuestra presencia. En realidad estamos en manos del Azar y nada impide que en cualquier momento, un gran asteroide venido del espacio pueda acabar con nuestra especie y toda la vida que pulula sobre nuestro planeta.

Movimiento de traslación a 107.000 Km/h
Probablemente no es fácil mantener una larga vida en un planeta del Sistema solar. Poco a poco hemos llegado a apreciar cuán precaria es. Dejando a un lado los intentos que siguen realizando los seres vivos (¿racionales?) de extinguirse así mismos, agotar los recursos, propagar infecciones letales y venenos mortales, hacer pruebas armamentísticas con la propia Naturaleza y un sin fin de locuras más, lo cierto es que también, aparte de los peligros que aquí nos acechan, bien sean naturales o artificiales, lo cierto es que, las amenazas externas nos acechan.

Los movimientos de cometas y asteroides constituyen una seria amenaza para el desarrollo y la continuidad de la vida inteligente en sus primeras etapas. Los impactos no son infrecuentes y en el pasado lejano han tenido efectos catastróficos sobre nuestro planeta, la Tierra. Somos afortunados por estar doblemente protegidos de estos impactos: por nuestra pequeña y cercana vecina, la Luna, y por nuestro vecino lejano y gigante Júpiter que tiene una masa mil veces mayor que la Tierra y está situado en las afueras del Sistema solar donde su poderosa atracción gravitatoria puede capturar objetos errantes que se dirigen hacia el interior.
El Hubble pudo captar ésta imagen de los fragmentos del cometa Schumacher-Levy 9 que cayeron sobre Júpiter que los engulló y allí desaparecieron para siempre. Pero Júpiter es un gigante gaseso y, ¿si hubieran caído en la Tierra?

Fragmento de meteorito
En el siglo XX tuvimos dos impactos importantes en la Tierra, uno en América del Sur y el otro en Tunguska, al norte de Rusia. Hemos estado haciendo trampas con la ley de los promedios pero, un día, nuestra suerte cambiará. Y, aunque es cierto que algunos gobiernos están haciendo esfuerzos económicos en proyectos encaminados a seguir y vigilar las trayectorias de algunos grandes meteoritos sospechosos, lo cierto es que el paso del tiempo acerca, de manera inexorable, el acontecimiento hacia nosotros, dado que en última instancia será inevitable.

Las imágenes que fueron tomadas de aquel acontecimiento son sobrecogedoras, todo quedó arrasado
Cien años han pasado de la explosión de origen desconocido que arrasó una zona de 50 kilómetros de diámetro en Tunguska, una remota zona de Siberia, explosión que se conoce con el nombre de evento de Tunguska. Esta explosión fue tan potente que fue detectada por sismógrafos en toda Asia y Europa e incluso llegaron a medirse en Londres las variaciones de presión atmosférica que causó.

Cuando no son muy grandes se desintegran al entrar en la atmósfera (pero algún día…)
- (1566) Ícaro.
- (1620) Geógrafo.
- (1685) Toro.
- (1862) Apolo.
- (1863) Antinous.
- (1864) Daedalus.
- (1865) Cerberus.
- (1866) Sisyphus.
A la fecha (al menos que yo sepa), sólo una sonda ha visitado un Asteroide que se Acerca a La Tierra. Se trata de la sonda NEAR-Shoemaker (Near Earth Asteroid Rendezvous), NASA, USA. Fue lanzada el 17 de Febrero de 1996 con destino final en el asteroide de tipo orbital amor 433 Eros. Su peso total era de 805 kilogramos. En Febrero de 1998 pasó por Eros sin ponerse en órbita. El 14 de Febrero de 2000 entró en órbita alrededor de Eros y el 12 de Febrero de 2001 descendió (!!) suavemente sobre él.
La sonda sobrevivió al aterrizaje y transmitió una serie de imágenes desde la superficie de este AAT. Se observaban bloques de rocas en un suelo polvoriento semejante al de nuestra Luna. Esta sonda contaba con espectrógrafos ópticos, infrarrojos, de rayos X y Gamma, magnetómetros, una cámara óptica multi-espectral y un radar láser.
Ida y su luna Dactyl
“Fotografía de Ceres en color natural tomada por la sonda espacial Dawn en mayo de 2015 a 13 642 km sobre la superficie. Se ven dos manchas brillantes en los cráteresOxo (en el centro) y Haulani (a la derecha). La sustancia que contienen principalmente estas manchas es carbonato de sodio. También es visible Ahura Mons, una colina aislada, en la parte inferior derecha. La superficie de Ceres es de las más oscuras del sistema solar.”

Algunos de estas rocas llegan a tener más de mil kilómetros. Algunos, como el conocido por el nombre de Ida llegan a tener hasta su propia pequeña luna llamada Dácty. ¿Os imagináis lo que sería la caída de uno de estos monstruos sobre nuestras cabezas? ¡¿Un asteroide con una luna?! La sonda Galileo cuya primera misión fue explorar el sistema joviano se encontró con dos asteroides y los fotografió durante su largo viaje a Júpiter. El segundo asteroide fotografiado es Ida (arriba) y se descubrió que tenía una luna, la que aparece como un pequeño punto a la derecha de Ida. La pequeña luna, llamada Dactyl mide poco más de un kilómetro, mientras que el asteroide con forma de patata mide unos cincuenta kilómetros de largo por unos treinta de ancho. Como ya habréis podido suponer, los nombres de Ida y Dactyl se tomaron de la Mitología Griega.
Curiosamente, estas intervenciones externas sobre la evolución de la Tierra tienen otra cara. Es cierto que pueden producir extinciones globales de una inmensa gravedad y retrasar la evolución de la complejidad en millones de años. Pero, en ciertas circunstancias pueden tener un efecto positivo y acelerador sobre la evolución de formas de vida inteligente. El mejor ejemplo que tenemos de ello fue el meteorito caído en el Yucatán (México).

La caída de aquel enorme meteorito modificó durante mucho tiempo la Atmósfera de la Tierra, hasta el punto de que, los Dinosaurios se quedaron sin comida y en aquel ambiente enrarecido poco a poco perecieron.
El suceso que, según todos los indicios, dio lugar a la extinción de los dinosaurios por la caída de un objeto espacial en la provincia del Yucatán hace ahora 65 millones de años, al final de la Era Mezosoica. Lo cierto es que, la Tierra fue rescatada de un callejón sin salida evolutivo. Parece que los dinosaurios evolucionaron por una vía que desarrollaba el tamaño físico antes que el tamaño cerebral.
La desaparición de los dinosaurios, junto con otras muchas formas de vida sobre la Tierra en aquella época, hizo un hueco para la aparición de los mamíferos. Además limpió algunos nichos de competidores por los recursos naturales. Todo aquello estimuló una rápida aceleración del desarrollo de la diversidad. Quizás esos impactos desempeñen un papel vital en la puesta en marcha de nuevos mecanismos evolutivos cuando, las formas de vida se ven atascadas en caminos poco prometedores.
¿Quién sabe? Pudiera ser que sin impactos, los procesos de desarrollo pueden establecerse en un camino estable pero poco prometedores y con extinciones sistemáticas se posibilitan mutaciones y cambios que, de otra manera, nunca llegarían a producirse. Hemos oído muchas veces esa expresión que dice: ¡La Naturaleza es sabia! Pero, por otra parte, se me hace muy cuesta arriba pensar que ninguna de las estrellas que titilan en el firmamento, se puedan preocupar de nuestra efímera existencia aquí en la Tierra.
Descubren una bacteria que vive en el centro de la Tierra aislada de otras formas de vida.
Resulta muy difícil imaginar un organismo con vida que logre sobrevivir completamente aislado de otras formas de vida. Las necesidades orgánicas de todos los seres vivos vuelve el contacto con otras especies una condición sine qua non para poder sobrevivir en lo que conocemos como ecosistemas, los cuales se definen, justamente, por la interacción de varias formas de vida.
La existencia de un ser vivo que logre vivir completamente independiente del resto de formas de vida es algo que podríamos a priori enmarcar en el contexto de la ciencia ficción. Sin embargo, un reciente descubrimiento que tuvo lugar en Sudáfrica ha dejado boquiabierta a la ciencia.

Las cromatiales (Chromatiales), conocidas como bacterias púrpuras del azufre o bacterias rojas del azufre, son un grupo de bacterias púrpuras, y como tales son capaces de realizar la fotosíntesis.
Unas condiciones duras y rápidamente cambiantes podrían estimular la adaptación y acelerar los procesos evolutivos incrementando la diversidad que es el mejor seguro de vida que puede tener un planeta contra la extinción total de su biología por un impacto futuro. Claro que, no lo veríamos de la misma manera si fuéramos dinosaurios. Por otra parte, la vida es persistente y, como se puede leer debajo de la imagen de arriba, hasta aislada insiste en estar presente.
Por otra parte y de manera independiente de los posibles sucesos naturales que nos puedan amenazar, nuestra imaginación también crea otros que, según los rumores… pudieran ser ciertos. Tal es el caso del Planeta X, Hercóbulus, El 12º Planeta, Nibiru, son diferentes nombres que existen desde antiguo para designar a un extraño y destructor cuerpo celeste, que forma parte del Sistema Solar vecino de Tylo, pero que sin embargo su órbita tan elíptica y tan larga le lleva a cruzarse con nuestro Sistema Solar cada 3660 años.
El paso del planeta X, cruzándose por dentro de nuestro Sistema Solar, crearía unos efectos devastadores en La Tierra, encendiendo volcanes, terremotos, tsunamis, lluvias de fuego, etc… pues tendría que acercarse a unos 14 millones de millas de La Tierra, que astronómicamente se puede considerar como una distancia peligrosamente próxima.

La órbita elíptica de Nibiru, un planeta rojizo, más grande que Júpiter, le lleva a atravesar nuestro Sistema solar causando desequilibrios apocalípticos en la Tierra. Hercóbulus tiene un tamaño bastante grande, entre 2 y 5 veces mayor más que Júpiter, con lo que la fuerza de este planeta gigante altera electromagnéticamente y gravitacionalmente, a todos los niveles, a nuestro planeta; su polo norte ejerce una gran influencia magnética al acercarse al polo norte de La Tierra, momento en el que ambos cuerpos se repelen magnéticamente y se produce una gran sacudida geo-magnética que cambia los polos en La Tierra.

Esto explicaría que la civilización humana transcurre y evoluciona en el tiempo mediante periodos cíclicos, de aproximadamente cada 4 milenios, siendo una de las visitas indeseables de Nibiru la causante de la desaparición del continente de la Atlántida. según todas estas leyendas, se calcula que el paso de Nibiru cerca de La Tierra, hacia el año 2012, podría ocasionar la muerte de 2/3 de la población mundial. (Ya tenemos aquí “hecha realidad” la predicción maya). sin embargo, como adelante en 2.012, no pasó nada en la fecha “prevista” por los mayas.
¡Qué gente!

Lo es que no tenemos que ir tan lejos para poder constatar in situ, los cambios que los desastres naturales pueden producir en nuestro entorno que, con cada suceso catastrófico se ve transformado y hay cosas que desaparecen para dejar pasos a otras nuevas… La vida incluida.

Los cráteres volcánicos, como parece ser el caso, están frecuentemente llenos de agua de lluvia y freáticas, formando lagos. Suele ocurrir que, tras una erupción volcánica, sean destruidos miles de kilómetros cuadrados de terreno a su alrededor y cambien por completo la orografía de la zona. Parece imposible pensar que la Naturaleza pueda recuperarse tras un acontecimiento de este tipo, sin embargo, las primeras muestras de vida vegetal aparecen a unos escasos tres meses del acontecimiento en los campos cubiertos por las cenizas ricas en minerales. Poco tiempo después, vuelven los animales y la vida, se reanuda, como si allí, nada hubiese pasado.
Así es la Naturaleza, y, como tantas veces se dijo aquí, algo se destruye para hacer posible que algo nuevo surja a la vida. Cuando una estrella muere crea las condiciones necesarias para que otras surjan a la vida. La eterna rueda de los ciclos del Universo que, una y otra vez, reproduce los acontecimientos para que todo siga igual pero… diferente. Y, aunque os parezca una paradoja, así es el ritmo del Universo en el que todo muere para que todo pueda seguir el ritmo evolutivo que la Naturaleza impone.
Emilio Silvera Vázquez
Mar
12
¿Quién nos observa? No podríamos negar que esté sucediendo
por Emilio Silvera ~
Clasificado en El divagar de la Mente ~
Comments (2)
¡Nuestras Mentes! Esas desconocidas

Si contáramos una sinapsis cada segundo, tardaríamos 32 millones de años en hacer el recuento. Si consideramos el número posible de circuitos neuronales, tenemos que habérnosla con cifras hiper-astronómicas: 10 seguido de al menos un millón de ceros (En comparación con el número de partículas del universo conocido asciende a “tan sólo” 1079 es decir, es el número conocido como NEdd (Número de Eddington) que es:
15.747.724.136.275.002.577.605.653.961.181.555.468.044.717914.527.116.709.366.231.425.o76185.631.031.296 protones y el mismo número de electrones, fue calculado por Arthur Eddington allá por la década de 1920. Pues bien, esa descomunal cifra, se queda muy corta si la comparamos con las conexiones de nuestro cerebro. De ahí viene lo que decimos de que, “nuestros cerebros son las máquinas más complejas del Universo”. Y, desde luego, el comentario no está lejos de ser cierto.
¿La Vida? ¿Quién puede pararla?

Simulación en alta resolución de una galaxia que alberga una supernova super-luminosa en el universo primitivo. Se cree que a partir de sucesos como esos, el Universo evolucionó hasta llegar a lo que hoy conocemos. Las primeras estrellas muy masivas, incluso algunas sobrepasaban las 150 masas solares, eran destruidas por su propia radiación y se formaban inmensas nebulosas de las que volvían a surgir nuevas estrellas más estables hasta que, todo se fue acoplando de manera paulatina hacia una normalidad que ahora podemos contemplar a nuestro alrededor.
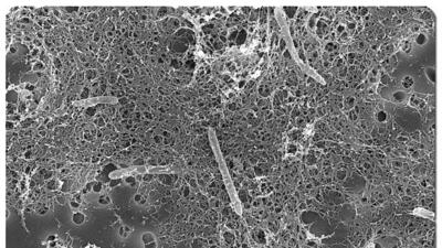
“Hay más bacteriofagos en la Tierra que cualquier otra forma de vida. Estos pequeños virus no son claramente una forma de vida, ya que no adjuntos a una bacteria están completamente aletargados. Los bacteriofagos atacan y comen bacterias y han estado haciéndolo desde hace más de 3.000 millones de años. Aunque inicialmente se descubrieron a principios del siglo pasado, la tremenda abundancia de fagos se realizó recientemente cuando se encontró que una simple gota de agua de mar contenía de forma media millones de ellos. Extra-potando, los fagos parece que son al menos millones de billones más numerosos que los humanos. La imagen de arriba es una micrografía electrónica de más de una docena de bacteriofagos adjuntados a una sola bacteria. Los fagos son muy pequeños, haría falta aproximadamente un millón de ellos puestos en fila para ocupar apenas un milímetro. La habilidad de matar bacterias hace de los fagos un potencial aliado en contra de las bacterias que causan enfermedades humanas, aunque no se conoce todavía bien a los bacteriofagos para ser usados en la medicina.·

Evolucionamos y pudimos entender que pertenecíamos a un Universo enorme y asombroso.
Si miramos retrospectivamente cuánto tiempo han estado en escena nuestros ancestros inteligentes (Homo Sapiens) vemos que han sido sólo unos pocos cientos de miles de años, mucho menos que la edad del universo, trece mil setecientos millones de años, o sea, menos de dos centésimos de la Historia del Universo. Pero si nuestros descendientes se prolongan en el futuro indefinidamente, la situación dará la vuelta y cuando se precise el tiempo que llevamos en el universo, se hablará de miles de millones de años
¿Sabía el Universo que íbamos avenir? Bueno, por lo menos puso toda la carne en el asador para que ocurriera. Los parámetros necesarios para que la vida surgiera a partir de la materia “inerte”, son muy complejos, lo llaman el Ajuste Fino. formas de vida más rudimentaria y primitiva que el paso del tiempo permitió evolucionar y, algunas, llegaron hasta nosotros.
-
C: Carbono
-
H: Hidrógeno
-
O: Oxígeno
-
N: Nitrógeno
-
P: Fósforo
-
Fe: Hierro
-
S: Azufre
-
Ca: Calcio
-
I: Yodo
-
Na: Sodio
-
K: Potasio
-
Cl: Cloro
-
Mg: Magnesio
-
F: Flúor
-
Cu: Cobre
-
Zn: Zinc
-
Glúcidos o Hidratos de Carbono
-
Lípidos
-
Proteínas
-
Ácidos Nucleicos




Sabemos que moléculas complejas y biomoléculas están presentes en el espacio interestelar. Los científicos han descubierto alrededor de las nebulosas planetarias Tc-1 y M1-20 (situadas entre 600 y 2.500 años luz de la Tierra), por primera vez evidencias de fullerenos complejos, denominados «cebollas de carbono», las moléculas más complejas observadas hasta el momento en el espacio exterior. Un hallazgo que tiene importantes implicaciones a la hora de entender la física y química del Universo y del origen y composición de las bandas difusas interestelares (DIBs), uno de los fenómenos más enigmáticos de la astrofísica.
Ahora sabemos que el universo tiene que tener miles de millones de años para que haya transcurrido el tiempo necesario par que las moléculas de la vida pudieran ser fabricadas en las estrellas y la gravitación nos dice que la edad del universo esta directamente ligada con otras propiedades como la densidad, temperatura, y el brillo del cielo.

Arriba, en el título del trabajo, os preguntaba: ¿Quién nos observa? Y, seguidamente os decía que “No podríamos negar que esté sucediendo”.

En galaxias lejanas de cientos de miles de millones de estrellas y en otras de menor volumen pero no por ello menos interesantes, existen extraños mundos que, aunque diferentes al nuestro, también viven y se nutren de la radiación y la luz estelar que les llega. Unos tienen soles azules y otros blancos, también los hay amarillos como el nuestro y muchos de ellos son rojos. Cada una de esas estrellas, configuran el color de sus respectivos mundos y los hace de color mortecino, de un azulado brillante o incluso, en ocasiones, de un color que influye en la atmósfera del planeta hasta hacerlo parecer de sangre. También los hay, como el nuestro, son luminosos y están alumbrados por estrellas blanco-azuladas que le dan un tono de exquisita presencia.

No todos los planetas que alberguen alguna clase de vida, ni en nuestra Galaxia ni en otras lejanas, tienen que ser como la Tierra. Existen planetas en los que se nos encogería el corazón por su aspectos terrorífico y de i naturaleza poco propicia para la vida, mientras que otros, nos parecerían una fantasía sacada de esos cuentos de hadas que de ñiños podíamos leer, tal es su belleza natural. En la Tierra tenemos muchas imágenes de lugares que hacen honor a ese pensamiento.

De la misma manera que existen estrellas de muchos tipos diferentes, así ocurre con los mundos que podemos encontrar repartidos por el universo orbitando estrellas que los configuran de mil diferentes maneras. Si nos fijamos en nuestro planeta que ha hecho posible nuestra presencia aquí, en el que junto a miles de otras especies hemos evolucionado, veremos que se han dado unas condiciones específicas para que todo eso sea posible.
Hemos podido llegar a un estado de evolución “aceptable” y alcanzado un nivel tecnológico que va más allá de lo que, hace sólo 200 años nos pudiéramos haber imaginado. Desde comienzo de la década de 1960, los programas de TV han emitido desde la Tierra hacia el espacio a un nivel de medio millón de watios. En la actualidad, la energía total emitida por las emisoras de televisión de todo el mundo es muy superior a los mil millones de watios. Durante los últimos quince años, esa cobertura expansiva de las emisoras de televisión, emitiendo desde la Tierra a la velocidad de la luz, ha podido llegar hasta centenares de estrellas y de mundos.

Enormes radares situados por todo el mundo lanzando ondas han podido ser la evidencia inequívoca de que aquí, en la Tierra, existen seres inteligentes que tratan de captar señales venidas del espacio exterior, de vigilar los posibles peligros que nos puedan llegar de más allá de los confines del Sistema solar, o, de captar esas señales que denoten la presencia de otros seres inteligentes que, situados en otros mundos lejanos, nos quieren decir alguna cosa o transmitir algún mensaje. Nosotros ya lo hemos intentado y continuamos haciéndolo.



¿Cómo serán ellos? Todo lo que podamos imaginar y mucho más
Lo cierto es que hemos llegado a comprender que la vida en la Tierra, toda sin excepción está basada en el Carbono y, como también sabemos que las leyes del Universo son las mismas en todas partes, es lógico pensar que lo que pasó aquí habrá podido pasar allí, en cualquier planeta lejano situado en nuestra Galaxia o en cualquiera de la multitud de galaxias que conforman nuestro universo en el que cientos de miles de millones de mundos, no pueden estar vacíos y carentes de vida.

Todas esas señales y las que emitimos con nuestro quehacer diario, hacen que nuestro planeta brille hasta parecer un ascua encendida en la oscuridad . Las frecuencias de televisión y las bandas de FM de las emisoras de radio nos delatan ante posibles inteligencias en otros mundos. Radioastrónomos situados en otros sistemas solares notarán, al enfocar sus antenas en nuestra dirección, una emisión de energía y advertirán que, en esta pequeña estrella amarilla existe una sociedad científicamente avanzada.
El gráfico de Abstruse Goose (después del salto) nos muestra lo que las civilizaciones extraterrestres estarían viendo en este momento si pudieran monitorear trasmisiones de televisión de la Tierra, de esas trasmisiones del pasado que ingresaron al espacio y se propagan a la velocidad constante de c (la velocidad de la luz en el vacío).
Claro que nuestras señales televisivas le dicen a los extraterrestres mucho más que todo eso. A partir de sutiles cambios en las frecuencia de las señales provocados por la rotación de la Tierra, podrían deducir la distancia que hay entre la Tierra y el Sol, la probable temperatura de la superficie de nuestro planeta y, a partir de aquí, que clase de vida puede haber en la Tierra. ¡Sabrían de nosotros mucho más que nosotros sabemos de ellos! Bueno, en realidad, de ellos no sabemos nada.

Si los astrónomos extraterrestres de otros sistemas solares han estado haciendo un seguimiento de nuestros progresos, tienen ya prueba de que esta vida ha atravesado ya un importante umbral tecnológico, el umbral de las comunicaciones de radio. Los científicos extraterrestres pueden deducir a partir de su propia experiencia que esa conquista puede verse pronto continuada por un dominio de los viajes por el espacio que es la siguiente escala perseguida. Primero de un planeta a otro cercano. En nuestro caso, digamos a Marte, y, a continuación, y no mucho después. Comenzarán los viajes que nos llevarán a los confines del Sistema Solar en busca de otras fronteras. Sin que nos demos cuenta, ya hemos enviado el mensaje de nuestra presencia que es el precursor de nuestra entrada en la Comunidad Galáctica.

Si realmente existen esos seres que imaginamos en otros mundos y, si como es lógico pensar, al igual que nosotros han podido evolucionar hasta alcanzar aceptables niveles del saber sobre la Naturaleza y los secretos del Universo, también habrán podido alcanzar una avanzada tecnología que, más o menos como la nuestra, les posibilite para enviar señales y hacer viajes espaciales que (no me extrañaría nada) estuvieran ya camino hacia nosotros.
Millones de mundos que, como el nuestro, brillaran en la noche delatando la presencia de Sociedades avanzadas que, situadas en grandes ciudades dejan transcurrir sus vidas mientras, también como nosotros, no dejan de investigar y de hacerse preguntas que, tampoco ellos, saben contestar. El saber del mundo, de los mundos, está repartido por todo el Universo que es, en definitiva, el que tiene todas esas respuestas que buscamos.

Muchas veces me hago esta pregunta: ¿De qué estrella vendrá esa primera señal de inteligencia que esperamos? Las civilizaciones que la envíe ¿a qué distancia estará, cómo será su mundo, cuánto tiempo ha tardado en llegar a nosotros, y, cuando la podamos descifrar, y contestemos, cuánto tardarán en tener la respuesta? Incluso es posible -seguramente lo normal-, que esas señales hayan sido enviadas ya por ambas partes y que, ni ellos ni nosotros, debido a las distancias que nos separan, la hemos podido recibir. ¡Qué frustración, pensar que eso es así y no poder hacer nada por remediarlo!
Ya hablamos el otro día de las estrellas cercanas, las que estaban situadas dentro de un radio de unos doce años-luz y de las posibilidades que podían existir de que, en alguna de ellas (de sus planetas), pudiera existir alguna clase de vida. La presencia de vida inteligente en el inmenso universo, debe ser una cosa cotidiana, nada excepcional. Sin embargo, tal como están dispuestas las cosas, lo que no parece tan cotidiano es, el hecho de que, entre civilizaciones inteligentes nos podamos encontrar, las inconmensurables distancias que nos pueden separar son… ¡casi inaccesibles! y, el tiempo necesario para recorrerlas, vería pasar ante él a muchas generaciones de individuos antes de que, entre ellos, pudiera darse ese contacto tantas veces imaginado.

Es poco probable que los que, ilusionados, lanzaron la señal hacia otros mundos. El mensaje que les hermanaría gracias a la inteligencia, pudiera ver realizados sus sueños de recibir una respuesta. El Proyecto OZMA y SETI son un buen ejemplo de ello. Y, por otra parte, no todas las estrellas están en disposición de poder dar a sus planetas lo que estos necesitan para albergar la vida. Pensemos que una estrella si es muy joven, digamos de unos cientos de millones de años, radiará en el ultravioleta con tal virulencia que, encontrar vida en sus inmediaciones sería imposible. Si por el contraria es una estrella vieja que, al final de su vida está a punto de explotar como supernova… tampoco parece que su entorno sea el adecuado.
Las estrellas y los mundos que puedan ser idóneas para que la vida esté presente, tendrán que tener esas condiciones mínimos exigidas para que, el agua esté presente, para que una atmósfera aceptablemente importante configure el planeta, que éste tenga una serie de parámetros de magnetismo, tectónica, oceános y otros que lo haga un planeta vivo, que la luz de la estrella lo caliente sin achicharrarlo… Si todo eso y algunas cosas más están presentes… La vida también lo estará.
Pero lo cierto es que, aunque la lógica nos dice que están ahí… ¡Seguimos sin recibir señales de que la vida está ahí fuera! El principal problema de que así sea, está en las distancias que nos separan y, simplemente tenemos que pensar que cualquier estrella orbitada por planetas está a muchos años-luz de nosotros y, las que puedan tener alguna posible forma de vida inteligente, no sabemos cuán lejos podrán estar situadas y, para llegar a nosotros, esas señales, necesitan recorrer el espacio que nos separa a la máxima velocidad que el universo permite, es decir, la velocidad de la luz de 299.792,458 km/s. Un viaje algo lento para que llegue a nosotros en un tiempo prudencial.
Seguramente, para cuando ese contacto se pueda producir, las civilizaciones que se encuentren, tendrán otros medios más avanzados que el de los viajes clásicos de las naves viajeras tal como las conocemos y, serán otras naves y otros caminos los que serán recorridos para viajar entre las estrellas. El Hiperespacio y los agujeros de gusano son dos buenas opciones pero… ¡habrá tantas!
Emilio Silvera Vázquez
















Totales: 81.539.515
Conectados: 59




































